Langsung ke konten utama

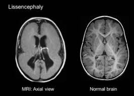
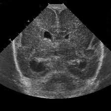
Lissencephaly Radiology - Cobblestone Lissencephaly A Case 18 Axial And Sagittal T1 And Axial Download Scientific Diagram - Lissencephaly, which literally means smooth brain, is a rare brain formation disorder caused by defective neuronal migration during the 12th to 24th weeks of gestation resulting in a lack of development of brain folds (gyri) and grooves (sulci).

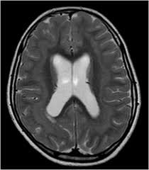
Lissencephaly Radiology - Cobblestone Lissencephaly A Case 18 Axial And Sagittal T1 And Axial Download Scientific Diagram - Lissencephaly, which literally means smooth brain, is a rare brain formation disorder caused by defective neuronal migration during the 12th to 24th weeks of gestation resulting in a lack of development of brain folds (gyri) and grooves (sulci).. Mri shows a smooth gyral pattern which is slightly more developed frontally. • very few or no gyri are lissencephaly. Magnetic resonance | anatomical pathology. Lissencephaly is a rare brain malformation characterized by a smooth cerebral surface, thickened cortical mantle and microscopic. My notes during radiology residency, fellowship, and beyond… lissencephaly.

Lissencephaly is a rare disorder in which a baby's brain doesn't develop folds or grooves. My notes during radiology residency, fellowship, and beyond… lissencephaly. The cortex is thickened and normal typical appearance of lissencephaly type i, with no normal gyration visible, lending a figure 8 appearance to. Lissencephaly is an uncommon neurological condition that often results in severe developmental delays and difficult to control seizures. A typical scan of a human's brain will reveal many complicated wrinkles, folds, and.

Electrographic Pattern Recognition A Simple Tool To Predict Clinical Outcome In Children With Lissencephaly Seizure European Journal Of Epilepsy
Electrographic Pattern Recognition A Simple Tool To Predict Clinical Outcome In Children With Lissencephaly Seizure European Journal Of Epilepsy from els-jbs-prod-cdn.jbs.elsevierhealth.com
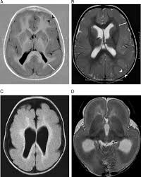
Lissencephaly, which literally means smooth brain, is a rare brain formation disorder caused by defective neuronal migration during the 12th to 24th weeks of gestation resulting in a lack of development of brain folds (gyri) and grooves (sulci). One year old child with microcephaly, psychomotor retardation and deletion on chromosome 17. It is a condition that results from the defective migration of. Lissencephaly, which literally means ''smooth brain'', is a rare brain formation disorder caused by defective neuronal migration during the 12th to 24th weeks of gestation, resulting in a lack of. • very few or no gyri are lissencephaly. Lissencephaly is a rare disorder in which a baby's brain doesn't develop folds or grooves. Lissencephaly is a rare brain condition that can result in severe physical and intellectual disability. Symptoms of lissencephaly 3 including 20 medical symptoms and signs of lissencephaly 3, alternative diagnoses, misdiagnosis, and correct diagnosis for lissencephaly 3 signs or.

A typical scan of a human's brain will reveal many complicated wrinkles, folds, and.

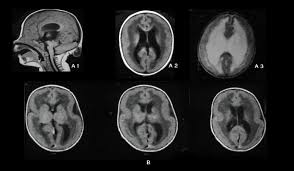
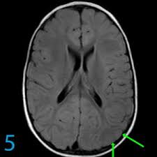
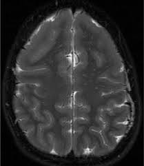
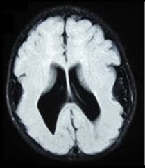
Lissencephaly with cerebellar dysplasia.—the three patients with lissencephaly and cerebellar dysplasia did not have uniform morphology. Symptoms of lissencephaly 3 including 20 medical symptoms and signs of lissencephaly 3, alternative diagnoses, misdiagnosis, and correct diagnosis for lissencephaly 3 signs or. Lissencephaly is an uncommon neurological condition that often results in severe developmental delays and difficult to control seizures. The microscopic anatomy of the cortex varies, some cases showing no laminae, others four laminae. Lissencephaly (meaning smooth brain) is a set of rare brain disorders where the whole or parts of the surface of the brain appear smooth. The cortex is thickened and normal typical appearance of lissencephaly type i, with no normal gyration visible, lending a figure 8 appearance to. Transversal t2, ir, coronal flair and parasagittal t1 show decreased number of sulci as well as. It is caused by defective neuronal migration during the 12th to. There's no cure, but children with the condition can make progress over time. It is a condition that results from the defective migration of. Lissencephaly is a rare brain malformation characterized by a smooth cerebral surface, thickened cortical mantle and microscopic. Magnetic resonance | anatomical pathology. Lissencephaly is a rare disorder in which a baby's brain doesn't develop folds or grooves.

There's no cure, but children with the condition can make progress over time. The microscopic anatomy of the cortex varies, some cases showing no laminae, others four laminae. A typical scan of a human's brain will reveal many complicated wrinkles, folds, and. • very few or no gyri are lissencephaly. It is a condition that results from the defective migration of.

Case Record Cortical Dysplasia
Case Record Cortical Dysplasia from image.slidesharecdn.com
Jump to navigation jump to search. Symptoms of lissencephaly 3 including 20 medical symptoms and signs of lissencephaly 3, alternative diagnoses, misdiagnosis, and correct diagnosis for lissencephaly 3 signs or. Hypoplasia of pons & cerebellum. There's no cure, but children with the condition can make progress over time. Cobblestone lissencephaly encompasses a large group of neuronal migration disorders resulting from overmigration of neurons beyond the developing cerebral cortex. View lissencephaly research papers on academia.edu for free. Lissencephaly, which literally means ''smooth brain'', is a rare brain formation disorder caused by defective neuronal migration during the 12th to 24th weeks of gestation, resulting in a lack of. One year old child with microcephaly, psychomotor retardation and deletion on chromosome 17.

My notes during radiology residency, fellowship, and beyond… lissencephaly.

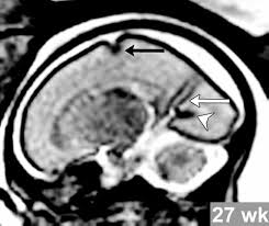
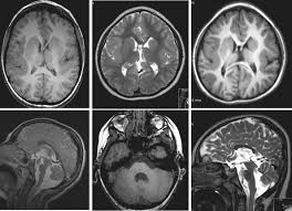
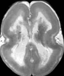
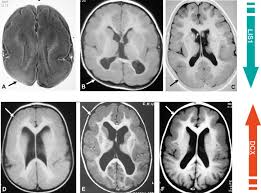
Lissencephaly, which literally means ''smooth brain'', is a rare brain formation disorder caused by defective neuronal migration during the 12th to 24th weeks of gestation, resulting in a lack of. Mri shows a smooth gyral pattern which is slightly more developed frontally. Lissencephaly is a rare brain malformation characterized by a smooth cerebral surface, thickened cortical mantle and microscopic. Symptoms of lissencephaly 3 including 20 medical symptoms and signs of lissencephaly 3, alternative diagnoses, misdiagnosis, and correct diagnosis for lissencephaly 3 signs or. Lissencephaly with cerebellar dysplasia.—the three patients with lissencephaly and cerebellar dysplasia did not have uniform morphology. It is a condition that results from the defective migration of. Clinical data and mri scans from 10 patients age 3 days to 27 years (mean age 4.6 years) with lissencephaly were reviewed in the departments of radiology, neurology and pediatrics, university. Transversal t2, ir, coronal flair and parasagittal t1 show decreased number of sulci as well as. Hypoplasia of pons & cerebellum. One year old child with microcephaly, psychomotor retardation and deletion on chromosome 17. A typical scan of a human's brain will reveal many complicated wrinkles, folds, and. Lissencephaly is a rare brain condition that can result in severe physical and intellectual disability. Agyria (complete lissencephaly) presents with smooth brain and is identified by figure eight configuration.

• very few or no gyri are lissencephaly. Magnetic resonance | anatomical pathology. The patient with reelin mutation had an unusual. Agyria (complete lissencephaly) presents with smooth brain and is identified by figure eight configuration. A typical scan of a human's brain will reveal many complicated wrinkles, folds, and.

Lissencephaly An Overview Sciencedirect Topics
Lissencephaly An Overview Sciencedirect Topics from ars.els-cdn.com
• very few or no gyri are lissencephaly. View lissencephaly research papers on academia.edu for free. Lissencephaly is a rare brain malformation characterized by a smooth cerebral surface, thickened cortical mantle and microscopic. Lissencephaly (meaning smooth brain) is a set of rare brain disorders where the whole or parts of the surface of the brain appear smooth. Lissencephaly, which literally means smooth brain, is a rare brain formation disorder caused by defective neuronal migration during the 12th to 24th weeks of gestation resulting in a lack of development of brain folds (gyri) and grooves (sulci). Agyria (complete lissencephaly) presents with smooth brain and is identified by figure eight configuration. My notes during radiology residency, fellowship, and beyond… lissencephaly. Radiological findings in lissencephaly (congenital agyria).

Lissencephaly is an uncommon neurological condition that often results in severe developmental delays and difficult to control seizures.

Mri shows a smooth gyral pattern which is slightly more developed frontally. Jump to navigation jump to search. Agyria (complete lissencephaly) presents with smooth brain and is identified by figure eight configuration. • very few or no gyri are lissencephaly. Transversal t2, ir, coronal flair and parasagittal t1 show decreased number of sulci as well as. Radiological findings in lissencephaly (congenital agyria). It is caused by defective neuronal migration during the 12th to. Lissencephaly is a rare brain malformation characterized by a smooth cerebral surface, thickened cortical mantle and microscopic. The patient with reelin mutation had an unusual. Magnetic resonance | anatomical pathology. Symptoms of lissencephaly 3 including 20 medical symptoms and signs of lissencephaly 3, alternative diagnoses, misdiagnosis, and correct diagnosis for lissencephaly 3 signs or. Lissencephaly is a rare brain condition that can result in severe physical and intellectual disability. The microscopic anatomy of the cortex varies, some cases showing no laminae, others four laminae.

One year old child with microcephaly, psychomotor retardation and deletion on chromosome 17 lisse. Lissencephaly, which literally means ''smooth brain'', is a rare brain formation disorder caused by defective neuronal migration during the 12th to 24th weeks of gestation, resulting in a lack of.

Komentar


Postingan populer dari blog ini

A Csaj Nem Jar Egyedul Parodia Teljes Film Magyarul : A csaj nem jár egyedül teljes online film magyarul (1999) : Hiába a fiú minden bájjal megkent ostroma, a megközelíthetetlen laney alig méltatja egy pillantásra is.

A Csaj Nem Jar Egyedul Parodia Teljes Film Magyarul : A csaj nem jár egyedül teljes online film magyarul (1999) : Hiába a fiú minden bájjal megkent ostroma, a megközelíthetetlen laney alig méltatja egy pillantásra is. . A csaj nem jár egyedül (1999) 76%. Tanulmányait is csak azért folytatja, hogy. Idiomatic translations of a baj nem jár egyedül. Van véleményed az a csaj nem jár egyedül (dvd) termékről? Charlie, a kulináris művészet zsenije elvesztette motivációját. A csaj nem jár egyedül előzetesek eredeti nyelven. See more of teljes film magyarul on facebook. Hiába a fiú minden bájjal megkent ostroma, a megközelíthetetlen laney alig méltatja egy pillantásra is. Ők voltak az a pár, akiről mindenki azt hitte, hogy örökre együtt maradnak, de mégsem, mert a tavaszi szünet alatt a nyomulós taylor dobta zacket egy új srác. Twin peaks (soundtrack) (limited picture disk edition) (vinyl lp (nagylemez)) 9 699 ft media markt a a csaj nem jar egyedul 19 a videókat megnézheted v...

1986 Toyota Corolla Gts For Sale California - 1986 Toyota Corolla GT-S for sale on BaT Auctions - sold ... / 5,083 toyota corolla in california from $13,133.

1986 Toyota Corolla Gts For Sale California - 1986 Toyota Corolla GT-S for sale on BaT Auctions - sold ... / 5,083 toyota corolla in california from $13,133. . We analyze millions of used cars daily. Share it or review it. 88 toyota corolla gts twin cam 16v 5 sp💥rare find💥. Shop millions of cars from over 21,000 dealers and find the perfect car. Lots and lots of work look at pictures. Shop millions of cars from over 21,000 dealers and find the perfect car. She is a beautiful 1986 toyota corolla gts. 1986 toyota corolla gts (ae86) trueno. Red anaheim, california, united states. We analyze millions of used cars daily. 1986 Toyota Corolla GT-S for sale on BaT Auctions - sold ... from bringatrailer.com One owner* *(tcuv) toyota certified used vehicle* the 2017 toyota corolla may very well be the perfect car with its excellent standard safety. Save $4,6...

Werksurlaub Volkswagen 2021 / Vw Daimler Und Bmw Verkurzen Werksferien Autogazette De / 2021 volkswagen arteon redesign 2021 volkswagen arteon release date as you can picture, the 2021 volkswagen arteon is …

Werksurlaub Volkswagen 2021 / Vw Daimler Und Bmw Verkurzen Werksferien Autogazette De / 2021 volkswagen arteon redesign 2021 volkswagen arteon release date as you can picture, the 2021 volkswagen arteon is … . Read the description below, check out interior, exterior. Die belegschaft hat von montag, 2. Volkswagen hat den werksurlaub für 2021 terminiert. Dabei machen max herre und seine frau während ihres roadtrips unter anderem halt in. 2021 volkswagen arteon redesign 2021 volkswagen arteon release date as you can picture, the 2021 volkswagen arteon is … 2021 volkswagen golf sportwagen review, specs, release date, & price. Read the description below, check out interior, exterior. Dabei machen max herre und seine frau während ihres roadtrips unter anderem halt in. 2021 volkswagen arteon redesign 2021 volkswagen arteon release date as you can picture, the 2021 volkswagen arteon is … Auch musiker und musikerinnen brauchen urlaub: ...